Before & After

Invisalign Before & After

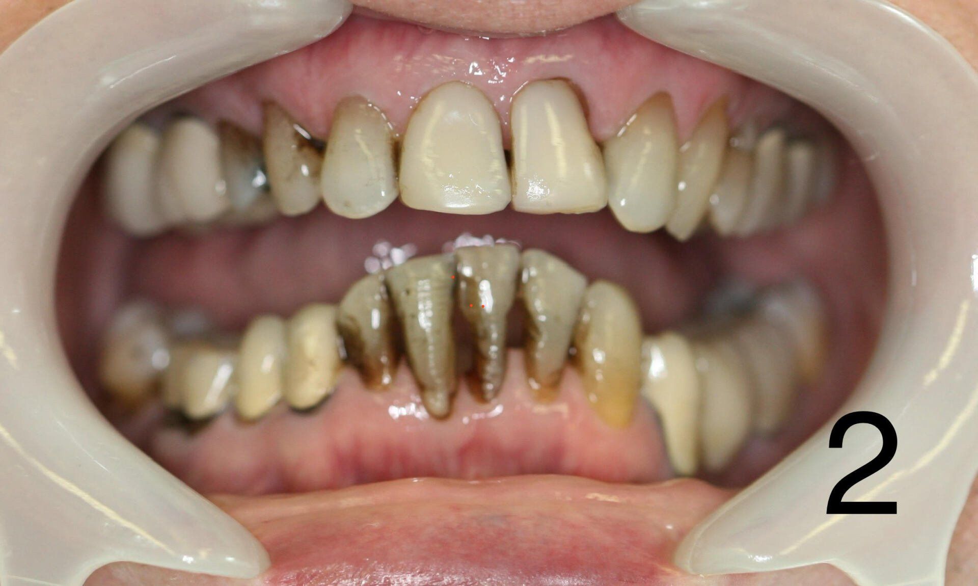
before and afters Dr. A. Christopher Bernardini

Teeth Whitening Before & After

Restorative Before & After